Общая неврология А.С. Никифоров, Е.И. Гусев - 2007г. - 720 с
|
|
|
|
ГЛАВА 20 НАРУШЕНИЯ ВНУТРИЧЕРЕПНОГО ДАВЛЕНИЯ. ГИДРОЦЕФАЛИЯ
20.1. ОБЩИЕ ПОЛОЖЕНИЯ
Относительная замкнутость полости мозгового черепа ведет к тому, что уменьшение или увеличение объема ее содержимого сопровождается соответственно снижением или повышением внутричерепного давления, т.е. внутричерепной гипотензией или гипертензией. При внутричерепной гипотензии давление ЦСЖ, определяемое при поясничном проколе, ниже 100 мм вод.ст., при внутричерепной гипертензии оно выше 180-200 мм вод.ст.
20.2. ВНУТРИЧЕРЕПНАЯ ГИПОТЕНЗИЯ 20.2.1. Этиология и патогенез
Причиной внутричерепной гипотензии может быть изъятие значительного количества цереброспинальной жидкости (ЦСЖ) при пункции желудочков мозга или ликворных цистерн, а также истечение ЦСЖ в эпидуральное пространство после пункции толстой иглой или же в связи с техническими погрешностями в процессе пункции, приведшими к грубому повреждению твердой мозговой оболочки. Особенно значительной потеря ЦСЖ может быть в случаях образования после черепно-мозговой травмы или хирургических вмешательств ликворных свищей, через которые происходит истечение ЦСЖ - ликворея. При черепно-мозговой травме ликворея нередко возникает при переломах костей основания черепа, как правило, сопровождающихся разрывом обоих листков сращенной с ними твердой мозговой оболочки. Особенно часто ликворея наблюдается при переломах решетчатой кости и пирамиды височной кости. В первом случае возникает назальная ликворея, во втором - ЦСЖ проникает в барабанную полость, при этом, если барабанная перепонка оказывается поврежденной, развивается ликворея из наружного слухового прохода, если же барабанная перепонка цела - ЦСЖ по слуховой трубе проникает в носоглотку, затем выделяется через нос и частично заглатывается. Иногда при подозрении на назальную ликворею возникает необходимость определить характер истекающей из носа жидкости. Следует учитывать, что выделяемый при насморке секрет содержит белка гораздо больше, чем его может быть в ЦСЖ. В связи с этим наличие ликвореи возможно подтвердить путем лабораторного исследования отделяемого из носа. В качестве скринингового (ориентировочного) признака может учитываться и давно известный симптом носового платка:
смоченный СМЖ платок после высыхания остается мягким, тогда как при насморке высохший платок оказывается жестким, заскорузлым.
При внутричерепной гипотензии меняется состояние так называемой ликворной подушки, окружающей мозг и занимающей субарахноидальные пространства, происходит изменение натяжения сосудов и нервов, выполняющих роль «якорных» образований, раздражаются мозговые оболочки.
20.2.2. Клинические проявления
Клиническая картина синдрома снижения внутричерепного давления характеризуется упорной диффузной, преимущественно затылочной, головной болью (пункционная, или дренажная, головная боль), возможны легкие проявления менингеального синдрома (менингизм), характерны вялость, апатия, повышенная утомляемость, тенденция к тахикардии (пульс 85-100 уд/мин), если внутричерепное давление оказывается менее 80 мм вод.ст., возможны бледность покровных тканей, синюшность губ, холодный пот, нарушение ритма дыхания. Характерно нарастание выраженности головной боли при переходе больного из горизонтального положения в вертикальное, при этом возможны тошнота, рвота, несистемное головокружение, ощущение тумана перед глазами. Головная боль при ликворной гипотензии усиливается при быстрых поворотах головы, а также ходьбе (каждый шаг «отдает в голову»). Обычно положителен симптом опущенной головы (Зограбян С.Г., 1965): уменьшение головной боли через 10-15 мин после поднятия ножного конца кровати, на которой больной лежит без подушки (на 30-35? относительно горизонтальной плоскости).
Особого внимания заслуживает внутричерепная гипотензия, обусловленная ликвореей, которая всегда должна рассматриваться как фактор риска в связи с возможностью проникновения инфекции в полость черепа и развития при этом менингита или менингоэнцефалита.
20.2.3. Лечение внутричерепной гипотензии
Постпункционная внутричерепная гипотензия обычно нормализуется спонтанно. Содействовать этому могут гидратация и постельный режим. Больному следует избегать физического напряжения, натуживания. В случаях формирования посттравматических ликворных свищей некоторое время больной может находиться на таком же режиме, однако если ликворея сохраняется, следует рассмотреть вопрос о нейрохирургическом лечении, которое должно обеспечить закрытие дефекта в твердой мозговой оболочке. Ликвидация ликворного свища необходима не только для нормализации внутричерепного давления, но и, что особенно важно, для профилактики проникновения инфекции в полость черепа.
20.3. ВНУТРИЧЕРЕПНАЯ ГИПЕРТЕНЗИЯ
Внутричерепная гипертензия возникает при увеличении суммарного объема расположенных в полости черепа тканей (отек мозга, венозный застой, скопление избыточного количества ЦСЖ, внутричерепной объемный патологический процесс: новообразование, абсцесс мозга и т.п.), а также при патологической
недостаточности либо уменьшении объема относительно замкнутой полости мозгового черепа (краниостеноз, вдавленный перелом костей свода черепа).
20.3.1. Патогенез
Могут быть выделены компенсированная и декомпенсированная стадии внутричерепной гипертензии. Стадия компенсации - состояние, при котором внутричерепная гипертензия, обусловленная возрастающим суммарным объемом тканей, находящихся в полости мозгового черепа, компенсируется путем уменьшения в ней количества крови и ЦСЖ, при этом кровь перемещается из сосудов полости черепа в резервные сосудистые пространства, а уменьшение объема ЦСЖ происходит за счет усиленной ее резорбции. Таким образом, существует определенный приспособительный механизм, позволяющий при умеренно выраженном отеке мозга или на начальном этапе роста объемного образования как бы притормозить развитие клинических проявлений внутричерепной гипертензии, результатом чего является отсутствие линейной зависимости между объемом патологического процесса и выраженностью внутричерепного давления.
Истощение упомянутых резервных возможностей, способных притормозить проявления повышения внутричерепного давления, ведет к развитию нарастающей декомпенсации внутричерепной гипертензии. В итоге процесс увеличения внутричерепного давления на графике может быть представлен в виде параболической кривой, при этом на каком-то этапе дегидратация, противоотечная терапия, направленная на уменьшение количества воды в тканях, заключенных в полости черепа, вентрикулопункция могут обусловить переход (возможно, временный) синдрома внутричерепной гипертензии из состояния декомпенсации в его компенсированную стадию.
Дальнейшее увеличение внутричерепного давления сопровождается все труд- нее корригируемым нарастанием клинических признаков внутричерепной ги- пертензии. Это ведет к снижению перфузионного давления в сосудах мозга, ко- торое обычно соответствует разности между средним артериальным давлением (половина суммы максимального и минимального артериального давления) и внутричерепным давлением. Если перфузионное давление оказывается ниже 50 мм рт.ст., механизм саморегуляции АД в мозговых сосудах истощается, при этом артериальный кровоток в мозге оказывается недостаточным. Если среднее артериальное давление в сосудах мозга уравнивается с внутричерепным давлением, кровоток в мозговых сосудах прекращается, так как перфузионное давление оказывается равным нулю. В таких случаях при ангиографии контрастное вещество не проходит дальше сифона внутренней сонной артерии, что иногда неверно трактуется как ее окклюзия.
Осложнением высокого внутричерепного давления можно признать и развитие застойных дисков зрительных нервов, которые со временем могут подвергнуться вторичной атрофии, сопровождающейся необратимым снижением зрения.
Тяжелейшим осложнением внутричерепной гипертензии при наличии очагового патологического процесса является смещение и вклинение мозговой ткани (см. главу 21).
Причиной повышения внутричерепного давления могут быть различные патологические процессы, прежде всего объемные патологические внутричереп- ные образования (опухоли, гематомы, абсцессы, инфекционная гранулема),
менингит, энцефалит, черепно-мозговая травма, эклампсия, гипонатриемия, метаболическая или гипоксическая энцефалопатия, окклюзионная, гиперсекреторная и арезорбтивная формы гидроцефалии. Большинству из них уделено внимание в соответствующих главах. Одной из причин повышения внутричерепного давления является краниостеноз, при котором возникает преждевременное сращение костей мозгового черепа, ведущее к недостаточности объема его полости (см. главу 24).
Ниже дается описание клинической картины внутричерепной гипертензии различного происхождения, гидроцефалии, сопровождающейся повышением внутричерепного давления.
20.3.2. Клинические проявления внутричерепной гипертензии
Клиническая картина нарастающей внутричерепной гипертензии на начальном этапе проявляется приступообразно усиливающейся, чаще по утрам, диффузной распирающей головной болью, на фоне которой возможны мозговая рвота, не связанная с приемом пищи, а также признаки пирамидной недостаточности, угнетение психических функций: заторможенность, загруженность. Выраженность головной боли усиливают кашель, чиханье, натуживание. Нарастание гипертензионной головной боли и других признаков внутричерепной гипертензии могут провоцировать сгибание и разгибание шеи и сдавление яремных вен, ведущие к затруднению венозного оттока из полости черепа (гипертензионные симптомы Тинеля - французский невролог Tinel J., 1879-1952), а также развитие объемного патологического очага на шее или в средостении. Нарастание внутричерепной гипертензии в связи с затруднением венозного оттока может быть и следствием пребывания больного в течение некоторого времени в положении нагнувшись вперед, а также при опущенном головном конце кровати, на которой без подушки лежит больной. При пребывании больного с внутричерепной гипертензией в указанных позах иногда появляется нистагм (симптомы Розе - Rose E., 1836-1914). Кроме того, в таких ситуациях возможно временное ухудшение зрения, появление «тумана», «пелены» перед глазами - ранний клинический признак застойных дисков зрительных нервов.
Приступы гипертензионной головной боли в период ее кульминации нередко сопровождаются мозговой рвотой, возникающей без предшествующих ощущений больным тошноты и дискомфорта в эпигастрии, как это бывает при патологии пищеварительного тракта. Мозговая рвота может возникать натощак, неожиданно для больного и имеет фонтановидный характер. Нередко после нее на какой-то период снижается степень выраженности головной боли. При внутричерепных новообразованиях мозговая рвота - проявление резко выраженной внутричерепной гипертензии и может быть относительно ранним признаком заболевания, особенно при опухолях субтенториальной локализации. При опухолях в области IV желудочка мозга (эпендимома, эпендимобластома) мозговая рвота нередко возникает в дебюте клинической картины болезни, в таких случаях она часто сочетается с упорной икотой и может рассматриваться как очаговый симптом, обусловленный раздражением ромбовидной ямки и расположенных поблизости структур ретикулярной формации, образующих, в
частности так называемый рвотный центр. Такая икота и рвота являются признаками витальной опасности, требующей необходимости принятия срочных мер по спасению жизни больного.
Опасным проявлением внутричерепной гипертензии, свидетельствующим о нарушении функций ствола мозга, является также брадикардия (реже 60 уд/ мин), протекающая нередко в сочетании с повышением систолического АД и урежением дыхания (триада Кушинга - американский нейрохирург H. Cushing,
1868-1939).
По мере повышения внутричерепного давления обычно возникает развитие выявляемых при офтальмоскопии застойных дисков зрительных нервов. Термин введен в офтальмологическую практику в 1886 г. Альбрехтом фон Грефе. Некоторые авторы, в частности И.И. Меркулов (1979), считают целесообразным применять с той же целью термин pupilloedema (отек соска, или диска, зрительного нерва).
Застойные диски зрительных нервов увеличены, отечны, границы их размыты, вены расширены, артерии сужены. Развитию застойных дисков зрительных нервов обычно предшествует увеличение слепых пятен, что может быть выявлено при кампометрии (Федоров С.Н., 1957).
Полная или почти полная длительная сохранность остроты зрения при застойных дисках зрительных нервов позволяет отдифференцировать их от имеющих сходную офтальмоскопическую картину проявлений неврита зрительного нерва, так как при неврите этой патологии острота зрения резко снижается в дебюте патологического процесса.
Офтальмоскопическая картина отека застойного диска зрительного нерва зависит от стадии его развития. Первым признаком начинающегося застоя на глазном дне является стертость границ диска и небольшое проминирование его краев, при этом отмечается расширение вен и незначительный перегиб их в местах отечной ткани диска. Постепенно отек распространяется на весь диск, диаметр которого при этом увеличивается. Нарастает также степень выстояния диска в стекловидное тело. В последнюю очередь отек захватывает область сосудистой воронки диска. Нарастающие расширение и извитость вен сочетаются с сужением артерий сетчатки. Выстояние застойного диска зрительного нерва в стекловидное тело может достигать 6,0-7,0 дптр, т.е. 2-2,5 мм; значительно увеличивается его диаметр, при этом вены представляются фрагментированными, так как местами они перекрываются отечной тканью. В этой далеко зашедшей стадии застойного диска возможны кровоизлияния в его краевой зоне. Кровоизлияния могут быть мелкими или крупными, единичными или множественными, чаще они линейные, иногда - дугообразные, по периферии отечного диска.
Если лечение, чаще хирургическое, приводит к ликвидации внутричерепной гипертензии, то при этом сначала при кампометрии можно выявить постепенное уменьшение размеров слепого пятна, а затем уже появляются признаки регресса застойных дисков зрительных нервов.
При длительном существовании застойных дисков зрительных нервов (не- сколько месяцев, иногда год и больше) они приобретают серовато-белый цвет, отек диска постепенно идет на убыль, диаметр диска уменьшается, сосуды сужаются. В итоге наступает вторичная атрофия диска зрительного нерва. В отличие от того, что наблюдается при первичной атрофии зрительных нервов, при которой границы атрофичного диска имеют четкие границы, при вторичной атрофии диска обычно сохраняется их некоторая размытость. Развитие вто-
ричной атрофии дисков зрительных нервов сопровождается прогрессирующим сужением полей зрения и снижением остроты зрения вплоть до слепоты.
Проявлением выраженной внутричерепной гипертензии может быть слабость прямой наружной мышцы глаза, обычно возникающая с обеих сторон. В связи с этим выявляется недоведение глазных яблок кнаружи при поворотах взора в стороны - следствие компрессии отводящих (VI) черепных нервов.
При длительном и стойком повышении внутричерепного давления развиваются характерные изменения костей черепа: порозность и укорочение спинки турецкого седла, задних наклоненных (клиновидных) отростков. Контуры этих костных структур постепенно становятся нечеткими, размытыми. На краниограммах они напоминают тающий сахар, при этом вход в турецкое седло оказывается расширенным и оно приобретает ладьевидную форму.
Обычно обращается внимание на появление при длительной внутричерепной гипертензии истончения внутренней пластинки костей свода черепа, при этом на ней как бы отпечатывается рельеф извилин больших полушарий - пальцевые вдавления (impressiones digitatae). Наличие последнего признака не стоит переоценивать, так как он обычно и в норме выявляется у детей и иногда у молодых женщин. Возможным признаком внутричерепной гипертензии некоторыми авторами признается неровность края большого затылочного отверстия.
Нарастающая внутричерепная гипертензия обычно сопровождается изменениями в психической сфере больного. Он становится вял, апатичен, при этом сужается круг интересов, отмечается торпидность реакций на внешние раздражители. Возникают загруженность, повышенная истощаемость. При выраженной внутричерепной гипертензии лицо больного амимично, взгляд погасший («туморозное лицо», facies tumorosica). На вопросы он отвечает односложно, с промедлением, речь монотонная, слабо модулированная, иногда прерывается длительными паузами, при этом может наступить состояние сомнолентности. Возможно развитие проявлений апатоабулического синдрома. Дальнейшее нарастание внутричерепного давления может обусловить развитие оглушения, сопорозного состояния, комы.
Для прямого определения внутричерепного давления нередко прибегают к поясничному проколу. Необходимо учитывать, что при выраженной внутричерепной гипертензии, в частности при наличии застойных дисков зрительных нервов, изъятие ЦСЖ во время пункции может осложниться смещением мозговой ткани и ее вклинением в тенториальное или (чаще) большое затылочное отверстие, что ведет к нарушению функций ствола мозга и развитию опасных для жизни больного осложнений, в частности к остановке дыхания. Поэтому наличие признаков выраженной внутричерепной гипертензии, например застойных дисков зрительных нервов, следует считать противопоказанием для поясничного прокола.
Остро возникающая окклюзия ликворных путей, обеспечивающих выход ЦСЖ из желудочковой системы в субарахноидальные пространства (в частности, при опухоли в области IV желудочка мозга или опухоли мозжечка), может обусловить быстрое нарастание внутричерепного давления и развитие при этом синдрома Брунса (Bruns L., 1856-1916). Для него характерны резкое усиление головной боли, повторные рвоты, головокружение, нистагм, оглушенность, переходящая в сопор, в коматозное состояние, периодические тонические су- дороги (при этом конечности обычно разогнуты), нарушение окулоцефалического рефлекса, расстройства дыхания и сердечной деятельности. Синдром Брунса требует срочных мер, направленных на спасение жизни больного.
20.3.3. Синдром доброкачественной внутричерепной гипертензии
Среди патологических состояний, проявляющихся повышением внутричерепного давления, особое место занимает синдром первичной доброкачественной внутричерепной гипертензии (синдром псевдоопухоли головного мозга, pseudotumor cerebri). Он характеризуется умеренной гипертензионной головной болью, повышением внутричерепного давления (до 250-500 мм вод.ст.), выявляемого при диагностическом поясничном проколе. При удовлетворительном общем состоянии развиваются застойные диски зрительных нервов. У 5% больных на этом фоне со временем формируются признаки вторичной атрофии дисков зрительных нервов, что сочетается с необратимыми расстройствами зрения. На РЭГ и АГ обычно удается выявить признаки выраженного венозного застоя в полости черепа. На КТ и МРТ головы видны нормальные по размеру и форме или несколько расширенные желудочки мозга и субарахноидальные пространства, иногда - зоны отека в больших полушариях головного мозга.
Синдром доброкачественной внутричерепной гипертензии проявляется обычно в возрасте 20-45 лет, чаще у женщин с избыточной массой тела, при этом увеличение массы тела нередко происходит незадолго до развития застойных дисков зрительных нервов. Это позволяет связывать появление признаков доброкачественной внутричерепной гипертензии с повышением синтеза эстрогенов. Иногда прослеживается связь развития синдрома доброкачественной внутричерепной гипертензии с нарушением менструального цикла, беременностью, применением оральных контрацептивов.
Определенное значение в развитии синдрома доброкачественной внутричерепной гипертензии, возможно, имеет и нарушение оттока из полости черепа венозной крови, в частности в связи с тромбообразованием в венозных синусах, повышением давления в грудной полости, которое может быть сопряжено с опухолью средостения или с хроническим заболеванием легких, сопровождающимся выраженной эмфиземой. Возможными факторами, провоцирующими внутричерепную гипертензию, являются гиперпаратиреоз, гиперили гиповитаминоз А, резкая отмена лечения кортикостероидами, некоторые лекарственные средства (прогестерон, эстрогены, кетамин, производные фенотиазина, амиодарон, тироксин, препараты лития, некоторые антибиотики, в частности тетрациклин, пенициллин). Есть мнение о возможной обусловленности доброкачественной внутричерепной гипертензии кортикостероидной недо- статочностью, неспецифическими инфекциями, системными заболеваниями соединительной ткани, хроническим отравлением угарным газом, свинцом, перегреванием, физическим перенапряжением.
Больные, как правило, жалуются на головную боль, которая может быть диффузной или преимущественно ретроорбитальной и варьирует по степени выраженности. Боль усиливается при кашле, чиханье, натуживании, физическом напряжении, иногда сопровождается шумом в голове. Возможны (чаще по утрам) тошнота, редко - рвота, периодические эпизоды затуманивания, нечет- кости изображения предметов, болезненность при движениях глазных яблок, диплопия.
В неврологическом статусе очаговых симптомов обычно выявить не удается
за исключением отмечаемой иногда слабости прямых наружных мышц глаз, сознание и когнитивные функции не изменены.
При офтальмоскопии выявляются застойные диски зрительных нервов, при кампометрии - увеличение слепых пятен, при периметрии возможно определить концентрическое сужение полей зрения. КТ- и МРТ-исследование позволяют исключить наличие в полости черепа объемного патологического очага. При поясничном проколе - давление выше 200-250 мм вод.ст., состав ЦСЖ без особенностей. Другие лабораторные исследования также не выявляют каких-либо специфических особенностей.
Синдром доброкачественной внутричерепной гипертензии обычно разрешается спонтанно в течение года, но может сохраняться и длительнее, иногда это ведет к трансформации застойных дисков зрительных нервов в состояние их вторичной атрофии, стойкому, необратимому нарушению остроты зрения вплоть до слепоты. Поэтому должно проводиться лечение, направленное на снижение внутричерепного давления с целью прежде всего предотвращения падения остроты зрения.
20.4. ГИДРОЦЕФАЛИЯ
При гидроцефалии (водянка головного мозга) происходит избыточное накопление в полости черепа ЦСЖ. В таких случаях обычно, но не всегда, имеет место повышение внутричерепного давления.
У детей первых лет жизни с врожденной или приобретенной гидроцефалией повышение внутричерепного давления может какое-то время компенсироваться за счет увеличения объема полости мозгового черепа в связи с расхождением черепных швов, при этом происходит выраженное расширение желудочков мозга. У взрослых старше 60 лет в связи с постепенным уменьшением массы мозга увеличивается количество в полости черепа ЦСЖ без увеличения при этом внутричерепного давления. Однако возникновение в полости черепа объ- емного патологического процесса или нарушения ликвородинамического процесса обычно сопровождаются нарастающим давлением в полости черепа.
20.4.1. Варианты гидроцефалии
Гидроцефалия может быть открытой или закрытой (окклюзионной). Открытая гидроцефалия возникает из-за избыточной продукции ЦСЖ внутрижелудочковыми сосудистыми сплетениями (гиперсекреторная гидроцефалия) или уменьшения ее резорбции из субарахноидального пространства (арезорбтивная гидроцефалия). Чаще она является следствием перенесенного менингита или массивного субарахноидального кровоизлияния. В таких случаях происходит повышение внутричерепного давления.
Третья форма открытой гидроцефалии - заместительная гидроцефалия - следствие атрофии мозга и заполнения ЦСЖ освобождающегося при этом пространства, что сопровождается обычно симметричным расширением полостей мозговых желудочков и субарахноидальных пространств. Заместительная гидроцефалия, как правило, не сопровождается внутричерепной гипертензией. Она может быть признаком энцефалопатии, чаще дисциркуляторной, и особенно значительна при болезни Альцгеймера или болезни Пика.
Закрытая, или окклюзионная, гидроцефалия - следствие расстройства ликвородинамики в связи с перекрытием ликворных путей в мозге. Чаще это
симметричная гидроцефалия - результат недоразвития водопровода или центральной апертуры мозга вследствие возникновения опухоли субтенториальной локализации, в частности опухоли IV желудочка мозга (обычно эпендимомы или эпендимобластомы), реже - опухоли или келоидной кисты III желудочка мозга. В связи с редко встречающимся перекрытием места выхода ЦСЖ из бокового желудочка в III желудочек (отверстие Монро) возможно переполнение ею одного бокового желудочка со смещением тканей, расположенных в сагиттальной плоскости супратенториального пространства в противоположную сторону. Таким образом, окклюзионная гидроцефалия обычно ведет к выраженному переполнению ЦСЖ и расширению желудочковой системы мозга. Окклюзионная гидроцефалия всегда внутренняя, субарахноидальные пространства при ней сужены и на КТ зачастую не видны. Выраженность внутричерепной гипертензии при окклюзионной гидроцефалии обычно особенно велика, при этом возможно развитие угрожающего жизни больного синдрома Брунса.
Гидроцефалия может быть врожденной, являясь результатом внутриутробной инфекции или интоксикации, и тогда она оказывается одним из пороков развития, который нередко сочетается с различными патологическими стигмами, в частности с краниовертебральными аномалиями и оболочечно-мозговыми грыжами. Врожденная гидроцефалия в некоторых случаях сопряжена с перенесенной родовой травмой. Однако чаще причиной гидроцефалии являются болезни, возникшие в постнатальном периоде.
20.4.2. Клинические проявления гидроцефалии
Переполнение ЦСЖ полостей мозга ведет к их увеличению и выраженной деформации мозговых структур, что может уже в раннем детском возрасте проявляться вялостью, пассивностью, срыгиванием пищи, общим истощением, отставанием в физическом и умственном развитии. Расхождение костей мозгового черепа и увеличение его размеров при гидроцефалии у детей младшего возраста сочетается с расширением заднего и особенно переднего родничков, их незарастанием (рис. 20.1), при этом в покровных тканях головы инъецированы и хорошо видны вены. Мозговой череп увеличен, иногда резко увеличен, и нависает над лицевым черепом - симптом балкона, или симптом Фрей (Frey L.). Возможна деформация орбит, в связи с чем глазные яблоки оказыва-

Рис. 20.1. Ребенок с выраженной гидроцефалией.
ются повернутыми вниз, и тогда над верхним краем радужки становится видна склера (симптом «заходящего солнца» ). Перкуссия свода черепа у больных гидроцефалией вызывает своеобразный резонирующий звук - звук треснувшего горшка, или симптом Мак-Кьюна (шотландский хирург McCune W., 1848-1924). Повышение внутричерепного давления, в частности сопряженное с развитием менингита, у детей с незаращенными родничками ведет к напряжению мягких тканей над ними и к исчезновению их пульсации.
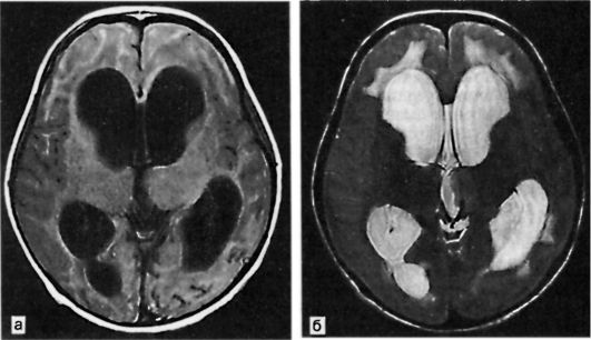
У детей старшего возраста и взрослых размеры и форма черепа при повышении внутричерепного давления не меняются в связи с прочным сращением черепных костей. Однако и в таких случаях при перкуссии черепа нередко можно выявить характерный для гидроцефалии симптом Мак-Кьюна. Наиболее демонстративна визуализация проявлений гидроцефалии при компьютерной томо- графии (КТ) и магнитно-резонансной томографии (МРТ) головы (рис. 20.2). Эти методы позволяют не только подтвердить наличие гидроцефалии, но и опре- делить степень выраженности расширения желудочковой системы, состояние субарахноидальных пространств и, таким образом, нередко позволяют судить о форме гидроцефалии и ее причине.

Рис. 20.2. МРТ головного мозга при гидроцефалии. а - в режиме Т1; б - в режиме Т2.
20.4.3. Нормотензивная гидроцефалия
Представляется целесообразным отдельно рассмотреть имеющую свои особенности так называемую нормотензивную гидроцефалию, или синдром Хаки- ма-Адамса (Hakim S., Adams R., 1965). Это вариант открытой гидроцефалии, которая проявляется нарастающим увеличением желудочков мозга при отсутствии клинических признаков внутричерепной гипертензии и нестабильном повышении ликворного давления, выявить которое обычно удается лишь при длительном его мониторировании. Для клинической картины этой формы гидроцефалии характерна триада Хакима: атаксия, недержание мочи и деменция.
Атаксия (по клинической картине) является лобной и, скорее всего, это следствие нарушения функции лобных долей по типу лобной апраксии, астазии-абазии. Нормальная походка у больного с деменцией исключает нормотензивную гидроцефалию. Возможны проявления двусторонней пирамидной недостаточности (сухожильная гиперрефлексия, симптом Бабинского и др.). Характерные при этом интеллектуальные расстройства по типу медленно прогрессирующей деменции нередко развиваются на фоне появлений лобно-каллезного синдрома. В таких случаях возникают замедленность мышления и речи, аспонтанность, апатия, изменение когнитивных функций. Нарушения мочеиспускания проявляются императивными позывами, их учащением, а затем и недержанием мочи.
Для нормотензивной гидроцефалии не характерны такие признаки внутричерепной гипертензии, как застойные диски зрительных нервов, гипертензионная головная боль, глазодвигательные нарушения.
Нормотензивная гидроцефалия может быть следствием субарахноидального кровоизлияния (30%), менингита (15%), черепно-мозговой травмы с подоболочечным кровоизлиянием (10%), нейрохирургических операций (5%), при этом между указанными процессами и развитием синдрома иногда проходит много лет. Признается, что нормотензивная внутричерепная гипертензия является открытой, арезорбтивной, т.е. обусловленной нарушением всасывания ЦСЖ оболочечными венами. Введение в терминальную цистерну радиоактивных изотопов приводит к их проникновению в желудочковую систему мозга, что подтверждает открытый характер гидроцефалии.
Морфологическим субстратом, приведшим к нарушению резорбции ЦСЖ, могут оказаться фиброз и сращения мозговых оболочек, возникающие вследствие субарахноидального кровоизлияния, менингита или черепно-мозговой травмы. У 1/3 больных причина развития синдрома остается неясной.
На краниограммах возможны признаки костных изменений, указывающих на длительность внутричерепной гипертензии: порозность, деструкцию спинки и клиновидных отростков турецкого седла, платибазию, базилярную импрессию.
На КТ и МРТ при нормотензивной гидроцефалии обычно выявляются рас- ширенные желудочки мозга, пониженная плотность паравентрикулярного белого вещества мозга (лейкоареоз).
При нормотензивной гидроцефалии разгрузочный поясничный прокол с извлечением 20-30 мл ЦСЖ вызывает временное улучшение состояния больного. Более стойкий положительный лечебный эффект может быть достигнут шунтированием желудочковой системы.
20.4.4. Лечение внутричерепной гипертензии и гидроцефалии
Больные с внутричерепной гипертензией нуждаются в уточнении ее причины. В период проводимого с этой целью обследования больной должен находиться на щадящем, а при выраженной внутричерепной гипертензии - на постельном режиме, ему проводят консервативное лечение, направленное прежде всего на борьбу с отеком мозга (см. главу 19).
При гидроцефалии в качестве временной меры обычно применяются диуретики, в частности ацетазоламид (диакарб), который проявляет себя и как средство, подавляющее продукцию ЦСЖ. При открытой гидроцефалии временный положительный эффект могут обусловить разгрузочные поясничные проколы.
Иногда при открытой гидроцефалии проявляется тенденция к стабилизации ликвородинамики, и ребенок с увеличенным мозговым черепом в дальнейшем сохраняет жизнеспособность и развивается более или менее удовлетворительно. При выявлении причины внутричерепной гипертензии и гидроцефалии следует обсудить возможность их ликвидации. Вопрос о такой возможности обычно решается неврологами совместно с нейрохирургами. В таких случаях радикальным может быть нейрохирургическое лечение, например тотальное удаление некоторых доброкачественных внутричерепных новообразований или субдуральной гематомы (см. главу 33). В других случаях консервативное или хирургическое лечение может обусловить улучшение состояния, стойкую ремиссию в течение заболевания, хотя в перспективе возможно обострение, требующее нового курса консервативного лечения или повторного оперативного вмешательства, как это бывает после частичного удаления доброкачественной глиомы, например кис- тозной астроцитомы полушария мозжечка. Если оказать радикальную помощь больному или обеспечить хотя бы временное улучшение в состоянии больного путем лечения основного заболевания нет возможности, то в некоторых случаях можно проводить паллиативные операции, в частности резекционную краниотомию с целью декомпрессии полости черепа. Если патологический очаг не может быть удален и при этом он перекрывает ликворные пути, вызывая окклюзионную гидроцефалию, возможна паллиативная операция - создание обходного пути циркуляции ЦСЖ. При ведущих к окклюзионной гидроцефалии патологических очагах на уровне водопровода мозга или IV желудочка мозга можно создать переток СМЖ из III желудочка мозга в ликворные цистерны основания черепа путем перфорации передней или задней стенки этого желудочка (операция Стукея-Скарфа, 1936). Чаще, однако, в таких случаях проводится вентрикулоцистерностомия по Торкильдсену, в процессе которой обеспечивается отток ЦСЖ из заднего рога бокового желудочка мозга в мозжечково-мозговую, или большую, ликворную цистерну, реже проводится вентрикуло-перитонеальное шунтирование (рис. 20.3). При открытой гидроцефалии иногда устанавливается люмбоперитонеальный шунт (рис. 20.4).

Рис. 20.3. Вентрикулоцистернальное дренирование по Торкильдсену.

Рис. 20.4. Наружное дренирование желудочков мозга.
Спасти больного с синдромом Брунса можно с помощью разгрузочной пункции бокового желудочка (вентрикулопункция) и последующей операцией с целью удаления окклюзирующего ликворные пути патологического процесса, а при инкурабельности опухоли проводят операцию по Торкильдсену или другие варианты перманентного шунтирования желудочковой системы.
При синдроме доброкачественной внутричерепной гипертензии показана дегидратация. В случае угрозы развития вторичной атрофии зрительных нервов выполняют люмбоперитонеальное шунтирование.
При операциях, обеспечивающих постоянный отток ЦСЖ, накапливающейся в ликворных путях в избытке, применяются дренажные системы с клапанным устройством, пропускающим ЦСЖ только в одном направлении. Особое значение имеет пропускная способность клапана, зависящая от уровня ликворного давления. При его чрезмерной пропускной способности возможно избыточное снижение давления ЦСЖ, т.е. развитие ликворной гипотензии, при которой подчас спадаются стенки желудочков мозга и возникает обрыв субдуральных вен с образованием подоболочечных гематом. Существуют дре- нажные системы, имеющие клапаны, рассчитанные на разное исходное давление в ликворных путях, а в последнее время появились дренажные системы с клапанами, которые благодаря специальному электромагнитному устройству могут обеспечивать саморегуляцию пропускной способности в зависимости от давления в ликворной системе. Установленную детям дренажную систему приходится периодически менять по мере увеличения размеров головы и тела.
Следует отметить, что выраженность синдромов смещения и вклинения мозга (см. главу 22) нарастает обычно быстро, в течение нескольких минут или часов, при этом необходимы неотложные меры, направленные на спасение жизни больных.
При быстром ухудшении состояния больного с явлениями внутричерепной гипертензии, особенно при проявлении признаков вклинения, показаны срочная интубация и ИВЛ в режиме гипервентиляции, которая позволяет быстрее, чем другие средства, снизить внутричерепное давление (ВЧД). Гипервентиляция вызывает снижение содержания в крови СО2 (РaСО2, обычно снижают до 25-30 мм рт.ст.), что ведет к сужению сосудов, уменьшению мозгового кровотока и, следовательно, уменьшению внутричерепного объема крови и внутричерепного давления. Однако надо иметь в виду, что при дальнейшем падении РaСО2 (ниже 25 мм рт.ст.) возникает опасность резкого уменьшения перфузионного давления в сосудах мозга и его ишемии. Особенно осторожно стоит проводить гипервентиляцию при ишемии мозга, менингите и тяжелой черепно-мозговой травме.
Снижение ВЧД при гипервентиляции происходит быстро, в течение 15- 30 мин, но в дальнейшем, несмотря на продолжение гипервентиляции, медленно возвращается к исходному, поэтому гипервентиляцию обычно ограничивают несколькими часами; это время может быть использовано для подготовки к операции.
Гипервентиляцию сочетают с нейрохирургическим вмешательством (дренаж желудочковой системы, декомпрессия, удаление объемного патологического очага).
В критических ситуациях при угрозе вклинения иногда прибегают к применению барбитуратов, вводя больного в состояние барбитуратовой комы и церебральной гипотензии, а при острой гидроцефалии, например вследствие менингита или субарахноидального кровоизлияния, проводят пункцию желудочков мозга.
Длительный мониторинг ВЧД с помощью внутричерепных датчиков может облегчить получение информации о состоянии давления ЦСЖ и, таким образом, повысить эффективность лечения больных, в частности больных с инсультом и тяжелой черепно-мозговой травмой.
Методы лечения при отеке мозга и сопряженном с ним повышении внутричерепного давления осмотическими и петлевыми диуретиками, а также кортикостероидами описаны в главе 19.